Art of the Stain Voting

Vote For Your Favorite Stain!


In celebration of Histology Professionals Day (HPD) on March 10, NSH hosted its annual Art of the Stain Contest.

All submissions have been collected and you can now cast your vote for your favorite stain until March 23. One vote per person.

The winning stain will be incorporated into our 2027 logo.

Cast Your Vote

Viewing Hint - right click on the image & select open image in new tab to view full size version.



#1

Stain: Masson's Trichrome 
Tissue: Liver 
Additional Information: Title- Spiderman 

#2

Stain: Masson's Trichrome
Tissue: Skin
Additional Information: Title- At Sea

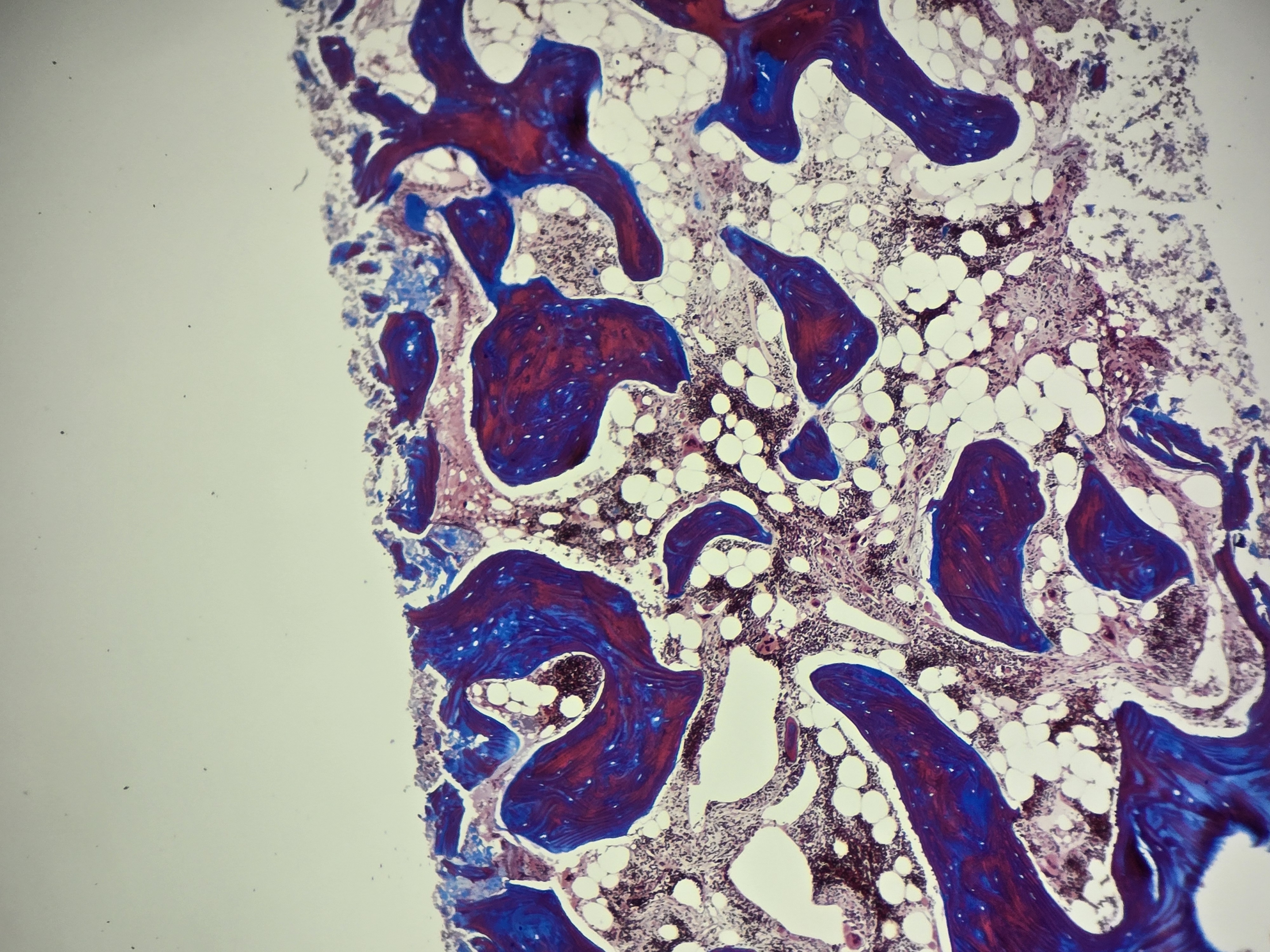
#3

Stain: Masson's Trichrome
Tissue: Bone Marrow



#4

Stain: Hematoxylin and Eosin
Tissue: Colon
Additional Information: Colorectal Adencarcinoma

#5

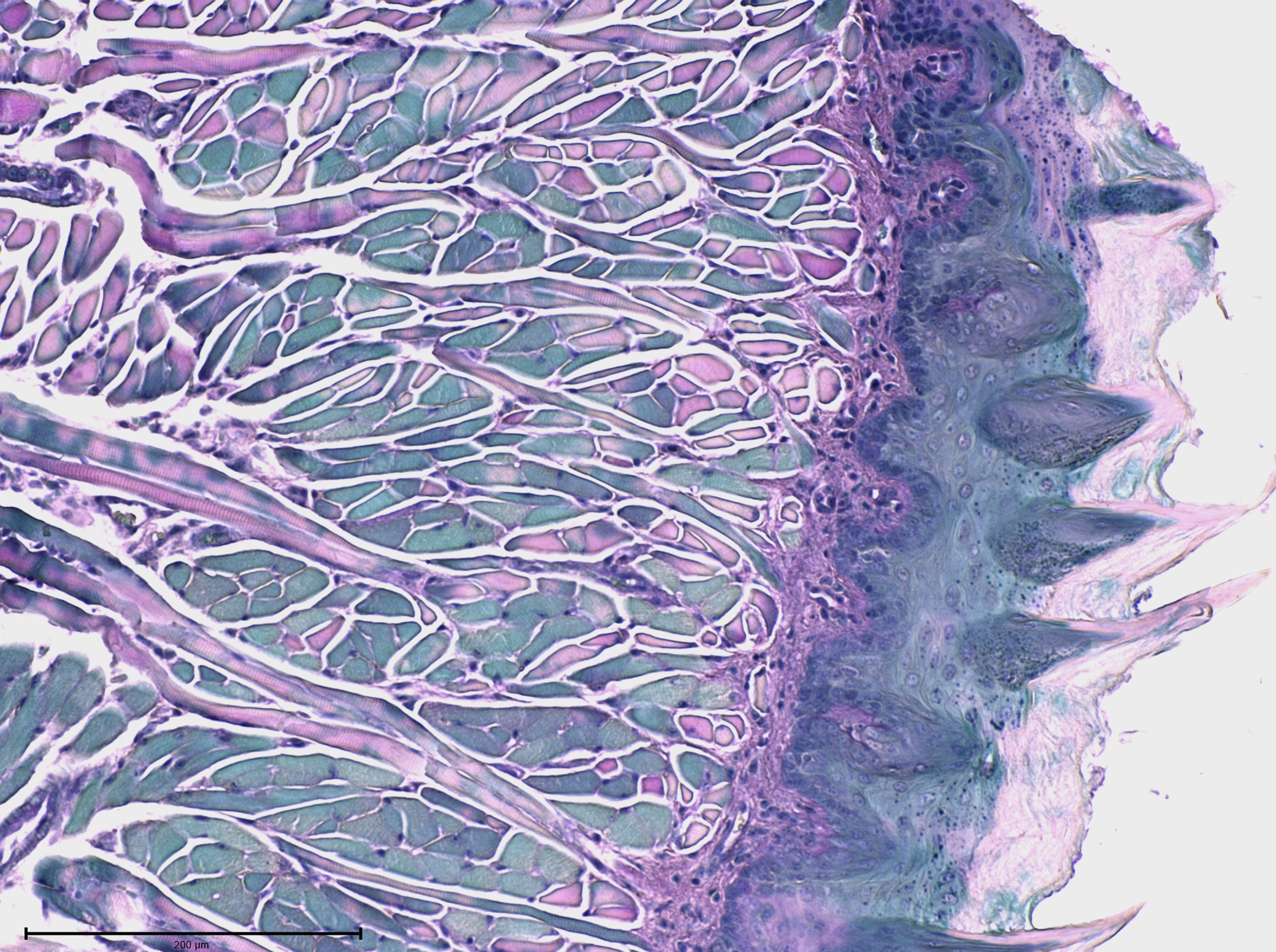
Stain: Martius Scarlet Blue (MSB)
Tissue: Mouse Tongue

#6

Stain: PAS with Light Green Counterstain
Tissue: Mouse Tongue

#7

Stain: AFB
Tissue: Intestinal
Additional Information: Diagnostic Confidence Level- uncomfortable 

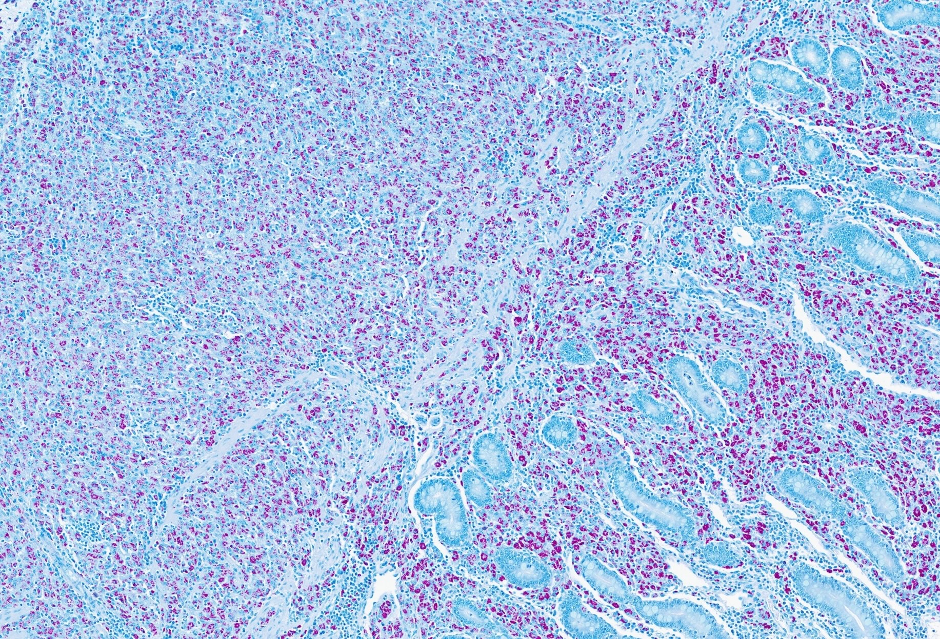
#8

Stain: PAS
Tissue: Intestinal
Additional Information: Because H&E wasn't dramatic enough

#9

Stain: PAS Yellow
Tissue: Colon
Additional Information: It's Beautiful! 

#10

Stain: H&E
Tissue: Lung Explant
Additional Information:
Our Pathologist on lung service got this H&E on the day before Valentine's day

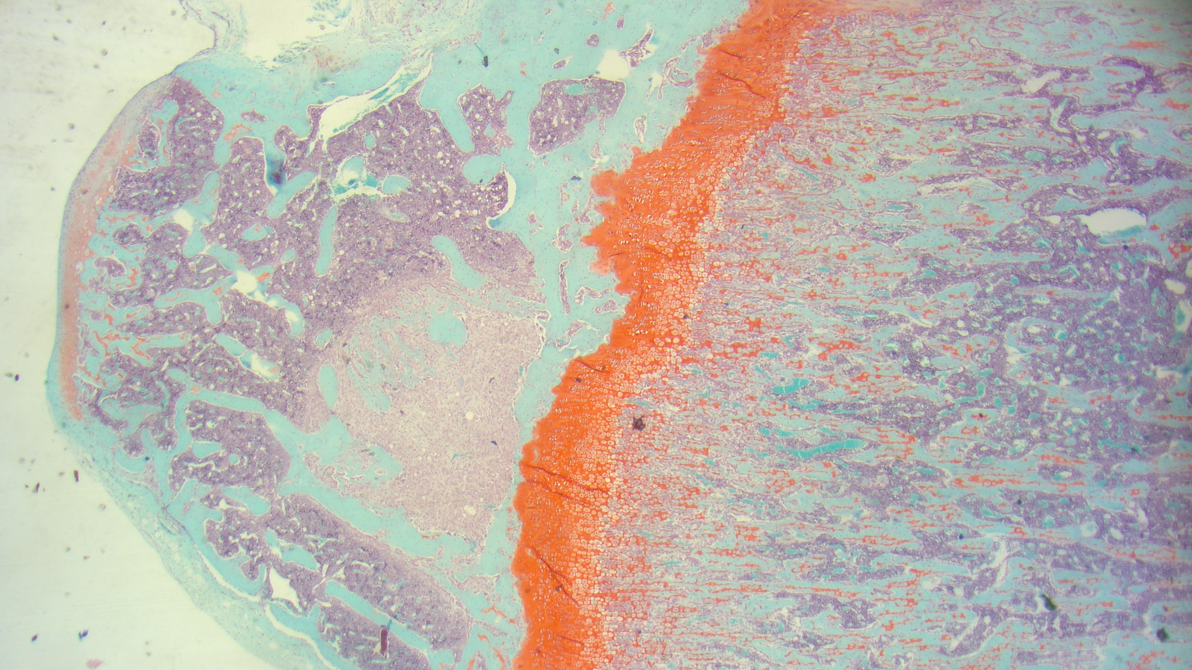
#11

Stain: Safranin O
Tissue: Rat Femur Bone
Additional Information: 
cartilage proteoglycans in the growth plate is stained in bright orange

#12

Stain: Picro-Mallory for Fibrin
Tissue: Human Placenta
Additional Information:
The fibrin fiber in blood clots are stained in red

#13

Stain: Multiplex Immunofluorescence
Tissue: Living Constellation Tumor Spheroid Cell Culture
Additional Information:  
Confocal image of a multicellular tumor spheroid labeled with multiple fluorescent markers. The vibrant distribution of cells forms a luminous, constellation-like structure revealing the complexity of three-dimensional tumor biology.

#14

Stain: Alcian Blue- Periodic Acid Schiff (AB-PAS
Tissue: Floral Architecture Human Colon Mucosa
Additional Information: The intestinal crypts form vibrant flower-like patterns, revealing the hidden beauty of tissue architecture.

#15

Stain: IHC/PIN4
Tissue: Prostate Cancer/Prostatic Intraepithelial Neoplasia
Additional Information:  hot spring spa

#16

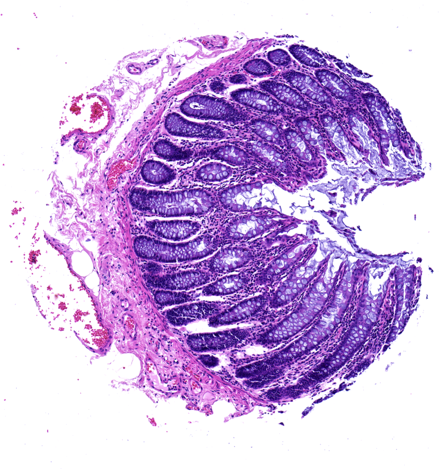
Stain: Alcian Blue
Tissue: Human Colon
Additional Information:
Sapphire Necklace